(北大国际医院腹膜肉瘤外科主治医师 肖萌萌)前不久,63岁的李伯伯(化名)终于在北京大学国际医院成功摆脱了腹中“孕养”2年多的、足足有34斤的巨大肿瘤,回想起与肿瘤“合体”的那些日子,他频频皱眉:“肚子大的比孕妇还夸张,连走路和呼吸都困难,而且只能坐着睡觉,简直是太痛苦了!”
“孕养”肿瘤2年有余 3小时手术,成功“卸货”
早在两年多前,他的腹部便开始缓慢隆起,起初他以为是正常的发胖现象,身体也没有任何不适,并没有在意。直到今年五月份,李伯伯的病情突然急剧恶化:不但行动不便,而且由于压迫,腹内有明显不适感;吃不下饭导致严重营养不良;由于压迫无法卧床且影响呼吸,每天只能坐在椅子上睡觉;后来甚至导致了双腿水肿,走路都开始蹒跚了……
眼看病情迅速恶化,李伯伯的家人十分着急,带他辗转当地多家医院求医,答复都不尽相同。无奈之下,家人只得带他来到北京大学国际医院腹膜后肿瘤外科寻求帮助,入院时的李伯伯已经因为肿瘤极度营养不良、下肢水肿、低蛋白血症、电解质紊乱、贫血,身体状况十分令人堪忧。

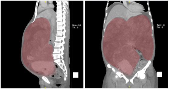
术前腹部影像
如此巨大的肿瘤,不但深入腹腔,还与多个大血管、腹腔脏器毗邻,手术风险巨大。北京大学国际医院腹膜后肿瘤外科团队在经过一系列精心的围手术期准备后,为李伯伯实施了肿瘤切除手术。手术由腹膜后肿瘤外科罗成华主任主刀,肖萌萌主治医师、陈骏主治医师配合,经过近3个小时的手术,成功切除34斤巨大肿瘤。李伯伯术后感觉良好,转入病房的当天,终于以平躺的姿势踏踏实实睡了一觉。
什么是腹膜后肿瘤?为什么能长这么大?
长这么大的肿瘤,患者还能进行日常起居和活动,缘于该肿瘤不是起源于哪个实质或者空腔脏器上,而是生长于腹膜后腔隙中,我们统称为腹膜后肿瘤。通俗地讲,肿瘤如果来自于肝脏、胰腺、脾脏、肾脏等实质脏器,有可能很快导致肝衰竭、肾衰竭、梗阻性黄疸、脾破裂出血等严重并发症,随时危及生命;如果来自于胃十二指肠、大肠、小肠,那么肿瘤只要4-5cm以上就能很快导致胃肠道的梗阻,不能进食、不能排便,患者很快就会陷入完全肠梗阻导致坏死、营养不良甚至波及生命。而如果肿瘤生长在腹膜后间隙,则这一切皆有可能……
腹膜后间隙是指腹腔脏器后方、两侧腰肌、中间脊柱前方的一个巨大腔隙,正常情况下仅有大血管以及肾脏输尿管位于腹膜后,如果肿瘤生长于此空间内,很小的时候完全无法察觉,稍微长大一点,我们以为是发胖,因为此时我们可能没有任何症状,或者仅有轻度腰痛、腹胀不适等情况而忽视,等继续长大后或者偶尔体检才会发现,我们所有手术患者中30%是体检时意外发现的,足可见该类肿瘤是狡猾的、隐匿的,我们得随时提防。
这种肿瘤发病率高吗?是如何发病的?
腹膜后肿瘤总发病率占所有肿瘤的1%不到,其中70%以上为恶性肿瘤,最常见的病理类型是肉瘤。因为其起病隐匿、无特异性症状,病理类型繁多达70余种,且因解剖深在、与多个大血管、腹腔脏器毗邻,导致手术风险巨大,一直被视为外科的禁区,因此诊断和治疗均非常困难。
到目前为止,腹膜后肿瘤的具体发病原因尚不清晰,容易诱发其他肿瘤的因素包括遗传、基因突变、环境、辐射、污染等,但因发病率较低,目前关于腹膜后肿瘤的研究,相比于胃肠癌、肝癌等常见肿瘤还远远不够。遗憾的是,目前也并没有任何措施可以预防并避免腹膜后肿瘤的发生,唯一可做的是,定期关注自己的健康,定期体检,发现疾病尽早就诊。
这种肿瘤如何治疗?
目前,手术是腹膜后肿瘤的唯一的潜在的治愈方法。因为腹膜后肿瘤大部分为肉瘤,而肉瘤相比于癌来讲,起源于间叶组织,对化疗、放疗均不敏感,5年总生存率不足50%。目前我们所熟知的肿瘤的化疗、放疗、靶向治疗,甚至质子重离子治疗等效果均较差,总体应答及有效率不足20%。因此,第一次手术至关重要,直接关系到术后的存活时间和复发率,所以一定要到专业、有大宗病例的诊治中心去就诊并手术。










网友评论